セラミックで整えるきれいで健康な歯

セラミックで整えるきれいで健康な歯

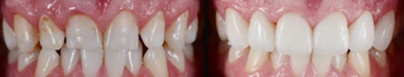
あなたの希望を叶える、きれいで
体にやさしいセラミック歯

自然な見た目と強度を持ち、技工精度が高い歯科用ファインセラミック。 虫歯治療の詰め物や、被せ物の治療などに使われるだけでなく、歯並びや色を改善する目的でも使用されます。 きれいで長持ちする丈夫な歯にしたい方に、選ばれています。

こんなお悩みはセラミック 銀歯が恥ずかしい、金属アレルギーが気になる 歯の形や隙間をきれいに整えたい 虫歯を、歯にいい素材で治したい 樹脂(レジン)の歯の黄ばみが気になる 昔の差し歯の歯ぐきの境目の色が黒っぽい SNSで見るような白くきれいな歯にしたい

こんなお悩みはセラミック 銀歯が恥ずかしい、金属アレルギーが気になる 歯の形や隙間をきれいに整えたい 虫歯を、歯にいい素材で治したい 樹脂(レジン)の歯の黄ばみが気になる 昔の差し歯の歯ぐきの境目の色が黒っぽい SNSで見るような白くきれいな歯にしたい


詰める

虫歯を除去した後の空洞を補います。銀色の詰め物の代替にも。

かぶせる(単)

大きな虫歯の除去後や、外傷などで欠けた部分を、覆うように補う治療法です。

かぶせる(連結)

虫歯や外傷などで失った歯を、両隣の歯を支えにして修復します。

貼る

極薄のセラミックのシェルを貼り、歯並びや色を、短期間で改善します。

組み合わせる

セラミックを貼ったり、かぶせたりして、歯の形や色などを整えます。 当院では、俳優、アーティスト、アナウンサー等の方々の歯も手がけている経験を生かして、適したご提案をいたします。歯の気になる部分やお悩みは、お気軽に医院にてご相談ください。

セラミックという素材について

歯科用セラミックの特徴や、 種類について

診療名
セラミック治療(ハイブリッドセラミック、オールセラミック、キャスタブルセラミック、プライムプレス、e-max、ジルコニアを用いたインレー、アンレー、クラウン。ラミネートべニア。ファイバーコア。)
診療の概要
セラミック治療は古い差し歯や被せ物を治療したり、部分的な歯並びの矯正を行ったりすることができる治療です。矯正に比べて短期間で歯並びの改善ができます。
診療の副作用やリスク
歯や歯茎のお痛みや知覚過敏。外科処置を併用する場合もあり、その際に腫れたり出血を生じる事もあります。麻酔を行った場合、術後痛が生じる事があります。最終補綴物(セラミック)や、治療途中における仮歯が破損したり、脱離したりする事もあります。付随した治療(根管治療や抜歯処置)が必要な場合もあります。術後の違和感が消失するまでの期間には個人差があります。
診療の価格
治療費のページをご覧ください。

ご予約・お問い合わせ

当院では、虫歯などの一般的な保険診療をはじめ、お口や歯をより快適にきれいにするための自由診療も行っております。
お口の中に感じたちょっとした違和感やお痛みが、歯やそれ以外の病気のサインの場合もあります。
ささいでも歯やお口に気になることがあれば、どうぞご遠慮なくご相談ください。

医院名 銀座池渕歯科
電話番号 03-5537-0335
所在地 東京都中央区銀座5丁目8−16 Ginza ナカヤ Bldg 3F
アクセス 東京メトロ各線 銀座駅A3出口 徒歩1分
(銀座中央通り沿い、FANCL銀座スクエア隣り)
※新橋駅、有楽町駅、日比谷駅、東銀座駅、銀座1丁目駅も徒歩圏内です。

当院へのアクセス

診療時間
10:00~19:00
9:00~18:00

【休診日】なし。土日祝も診療しております。

初診の方は、問診票のご記入がありますので、ご予約時間の10分前にご来院くださいますようお願いいたします。 ご来院の際は、マイナ保険証など有効な資格確認書類をご持参くださいませ。